Blanchiment Dentaire

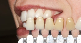
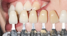
Gagnez jusqu’à 2 teintes Vita ®

  Le traitement le plus efficace à l’heure actuelle est le blanchiment dentaire ambulatoire. Nous utilisons des agents de blanchiment haut de gamme à base de peroxyde de carbamide afin d’obtenir un résultat optimal. 


 Attention, seuls les praticiens de l’art dentaire peuvent se procurer ces produits car ils doivent être utilisés avec précaution dans des gouttières fabriquées sur mesure.

ETAPE 1: Retirer les colorations

ETAPE 2: Fabrication des gouttières

ETAPE 3: Appliquez le produit

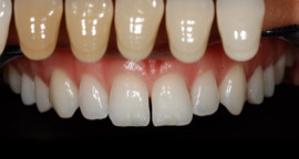
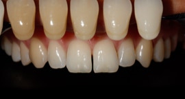
Application produit - Avant - Après

RESULTATS cliniques

Avant - Après

Rendez la blancheur à vos dents!