Dentisterie esthétique

Il ne faut pas attendre d’être heureux pour sourire, il faut sourire pour être heureux! 

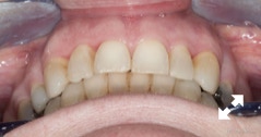
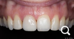
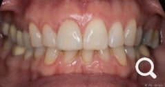
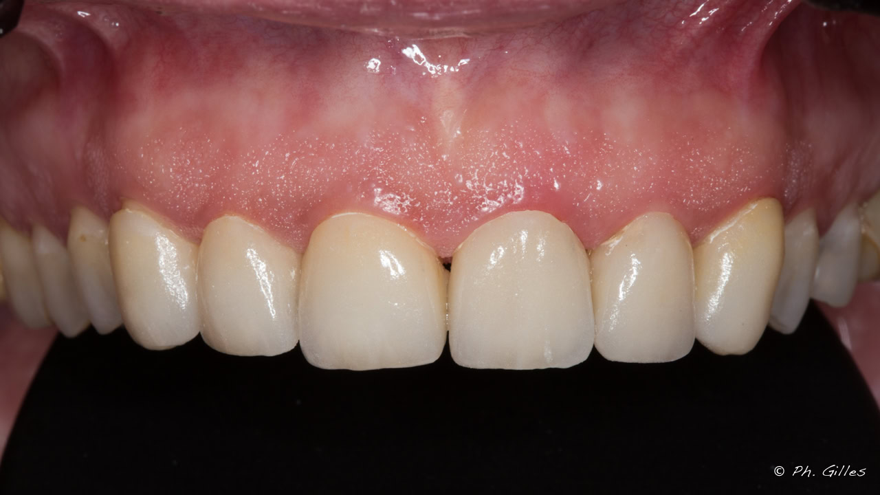
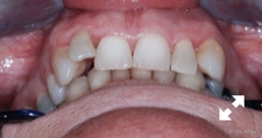
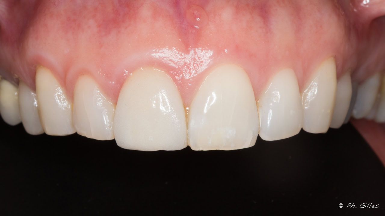
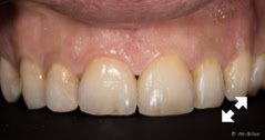
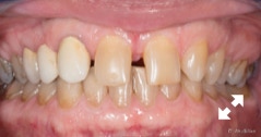
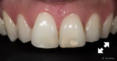
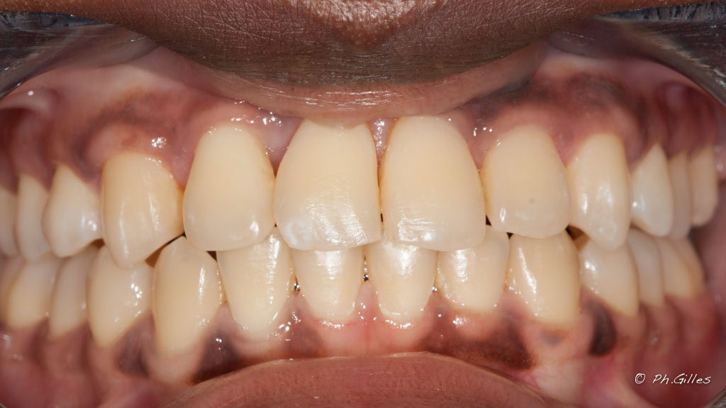
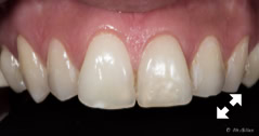
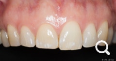
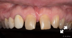
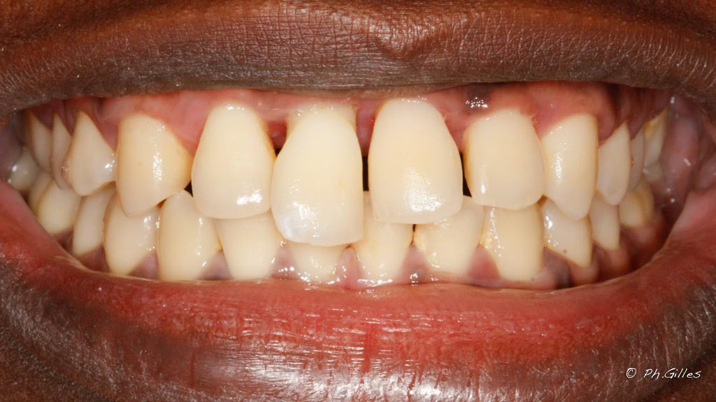
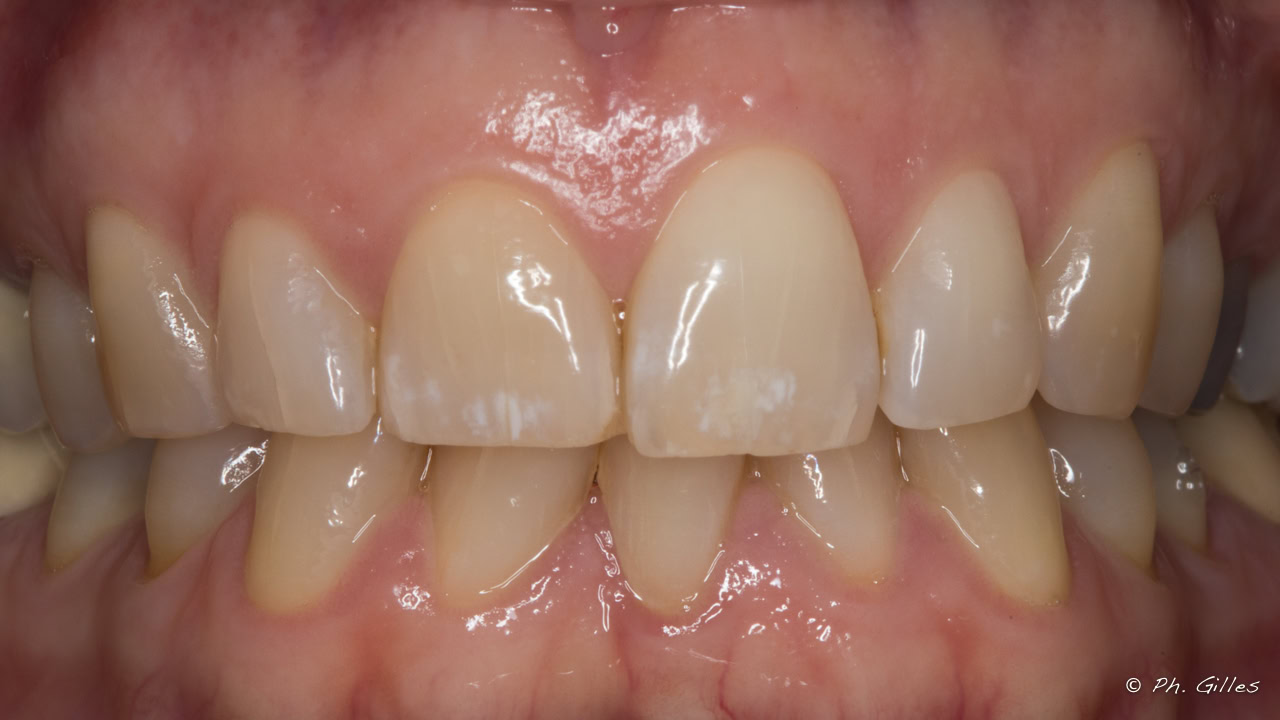
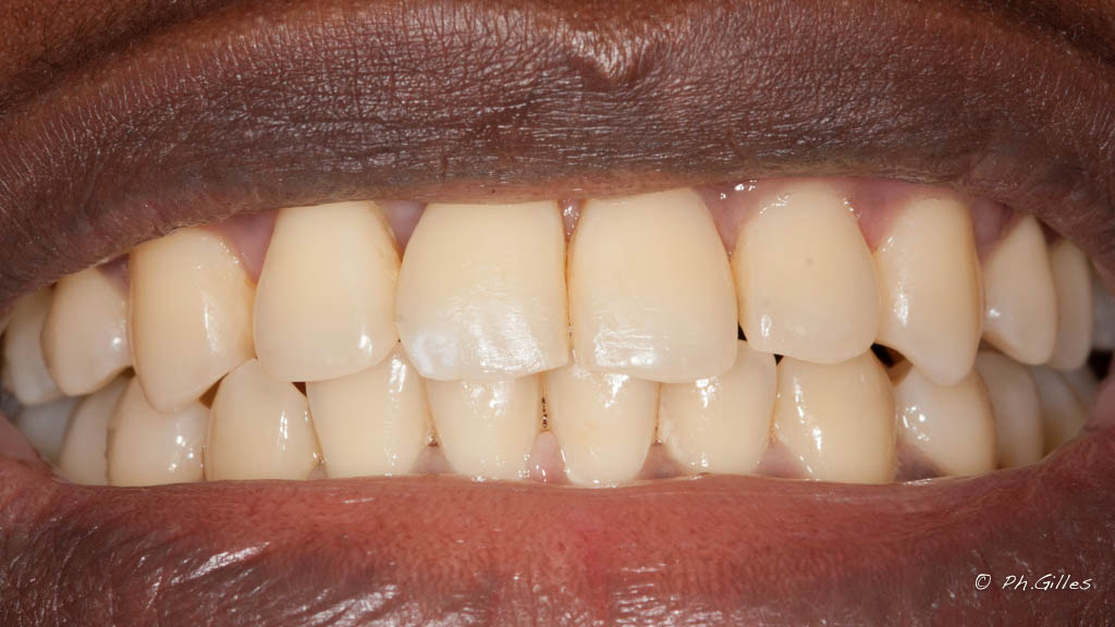
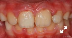
DIAGNOSTIC:

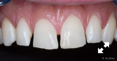
Changement teinte, asymétrie et légers encombrements

TRAITEMENT:

Orthodontie + éclaircissement + gingivoplastie + 1 facette céramique

DUREE:

⏳⏳⏳

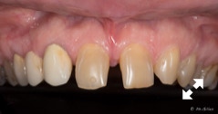
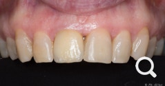
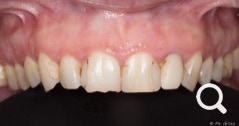
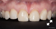
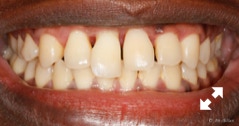
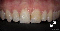
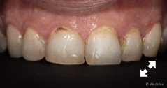
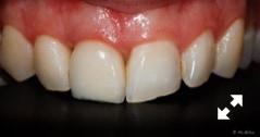
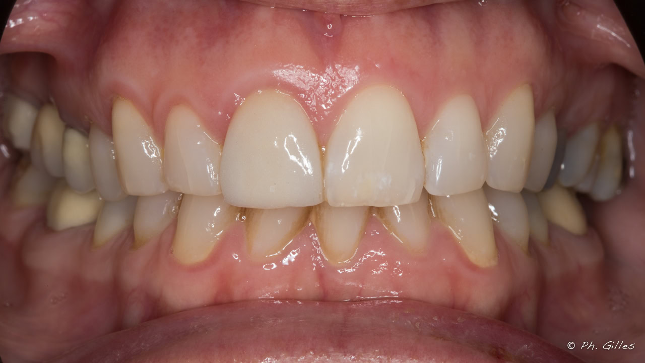
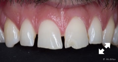
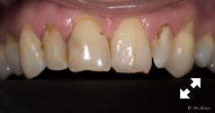
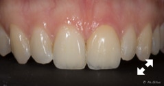
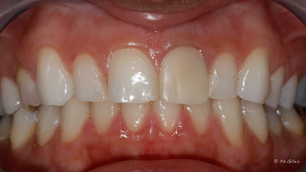
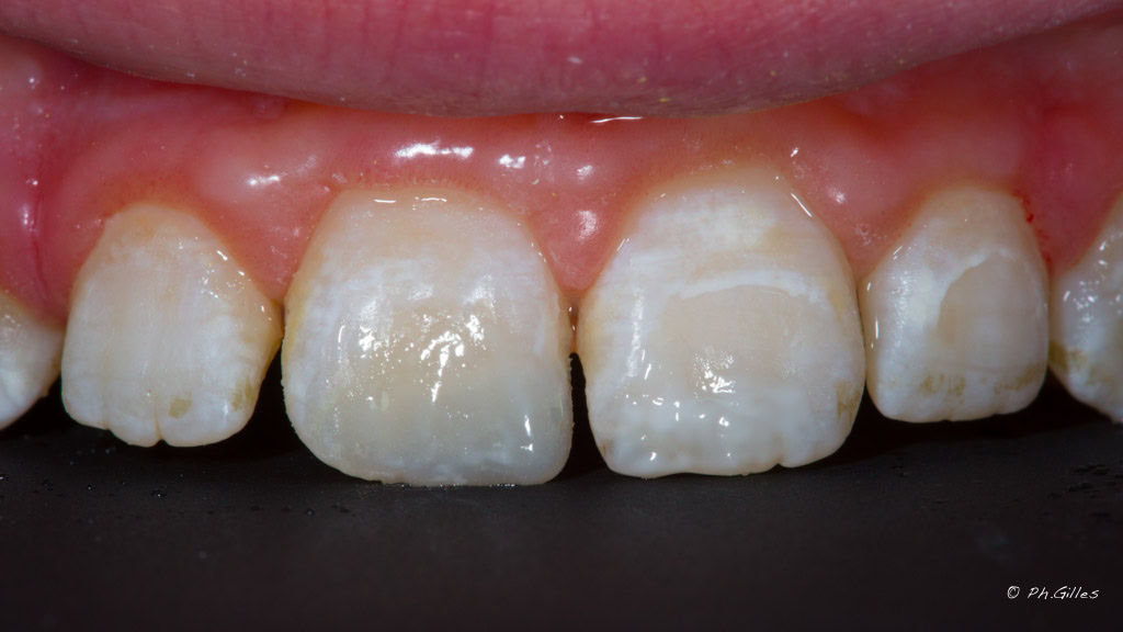
DIAGNOSTIC:

Asymétrie de la ligne du sourire

TRAITEMENT:

Gingivoplastie + 1 facette céramique

DUREE:

© MEDIC-ODONTE Srl Avenue Bel Horizon 2B, 1341 Céroux-Mousty

Facebook
Instagram @medicodonte

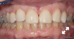
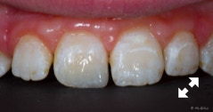
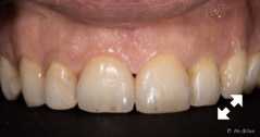
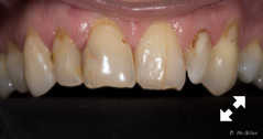
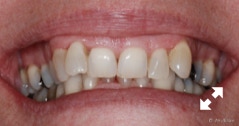
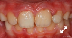
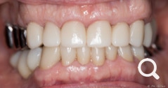
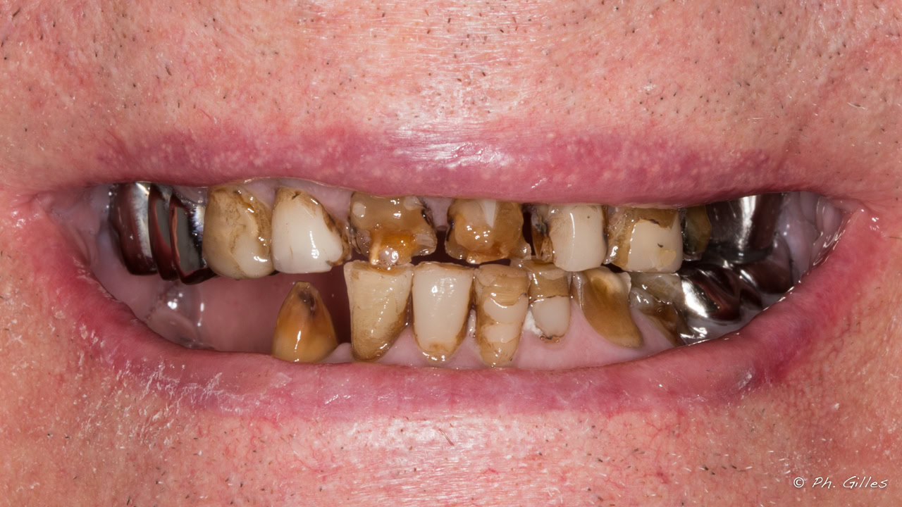
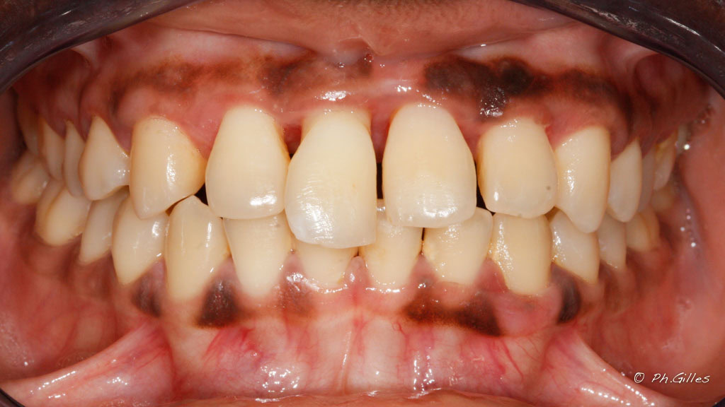
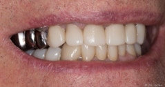
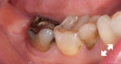
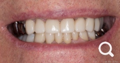
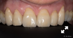
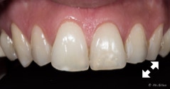
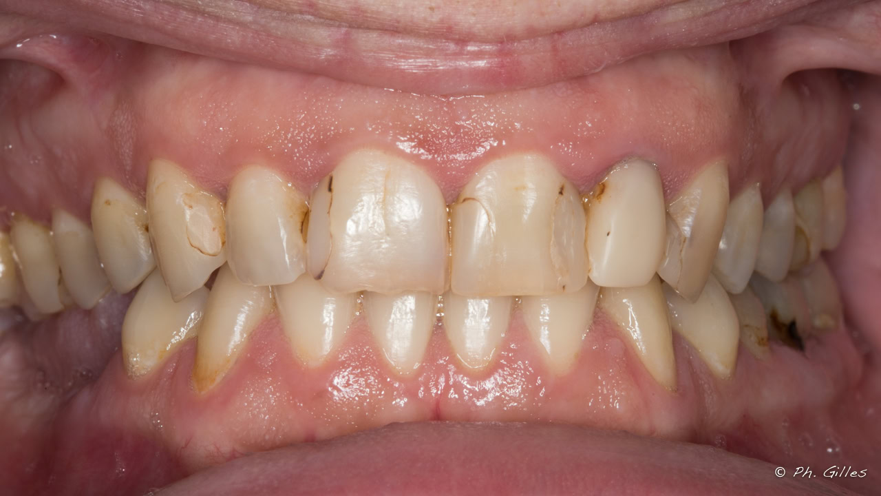
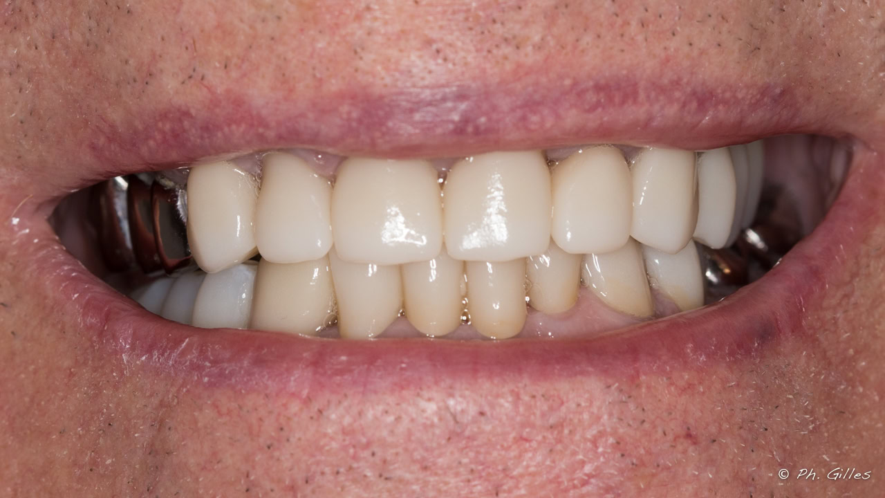
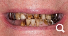
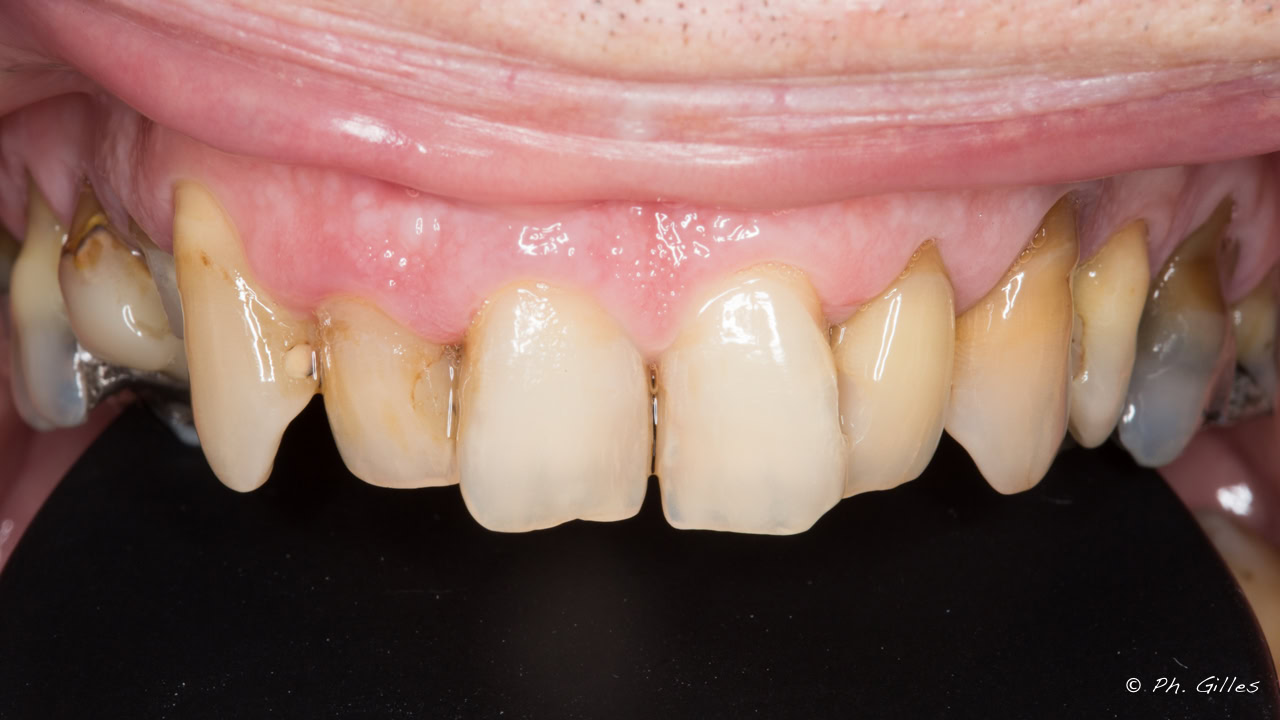
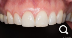
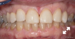
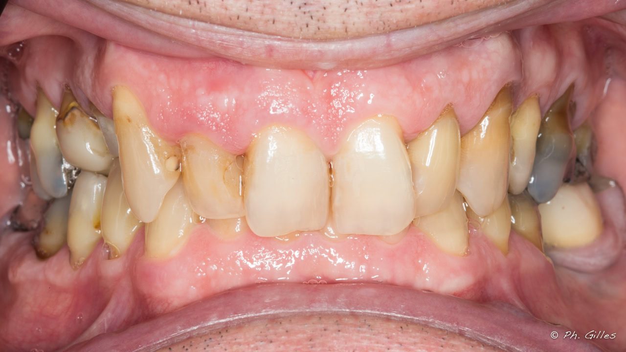
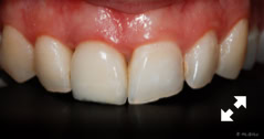
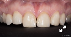
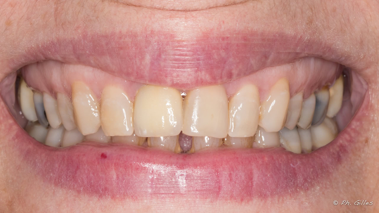
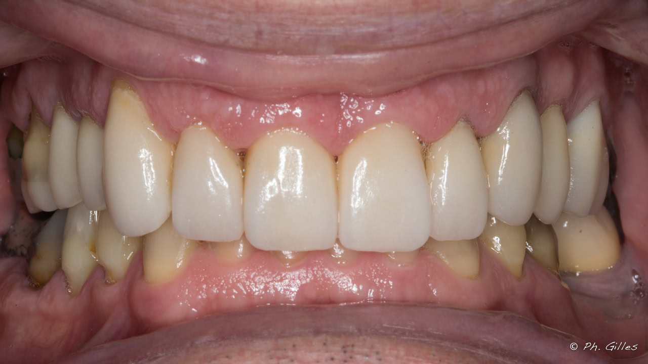
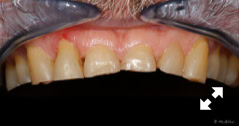
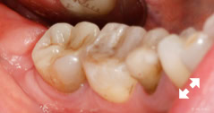
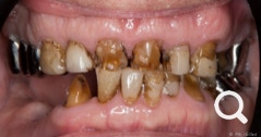
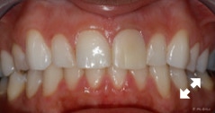
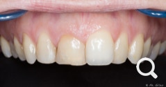
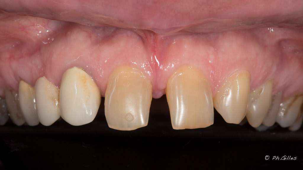
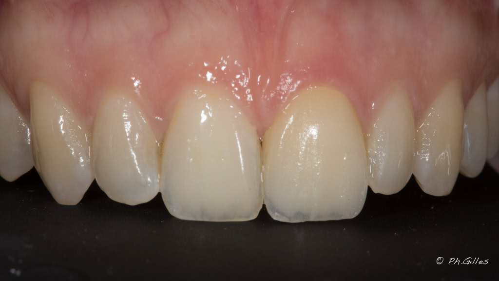
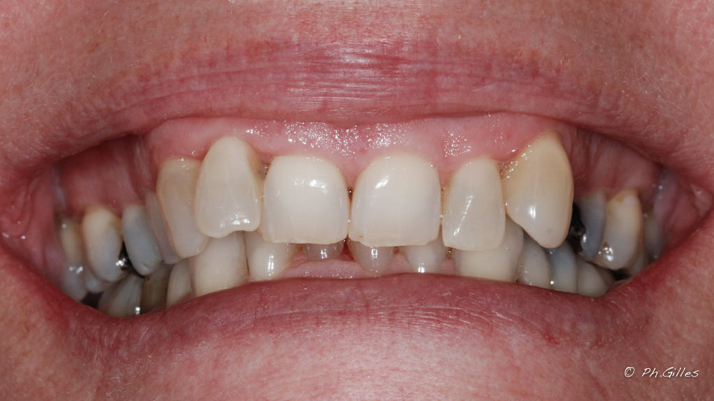
DIAGNOSTIC:

Réhabilitation prothétique globale

TRAITEMENT:

Couronnes full Zircone + bridges sur implants

DUREE:

⏳⏳⏳

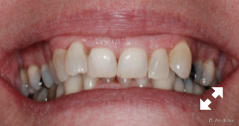
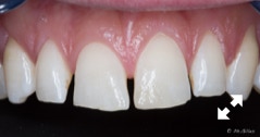
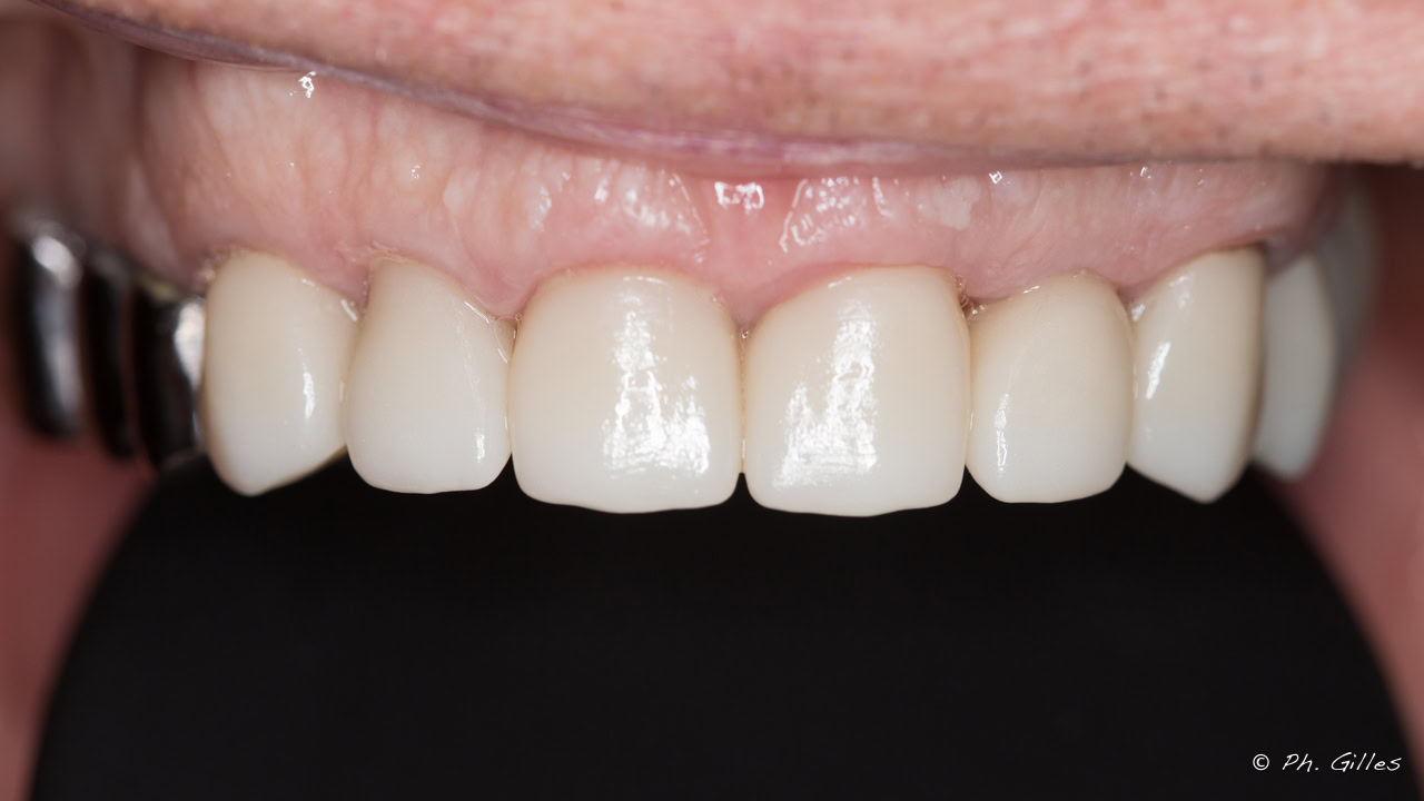
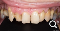
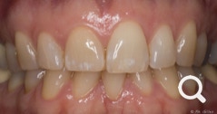
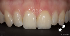
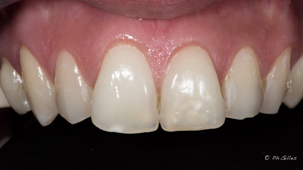
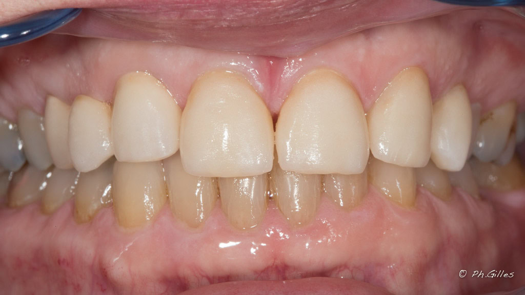
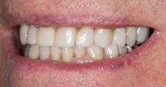
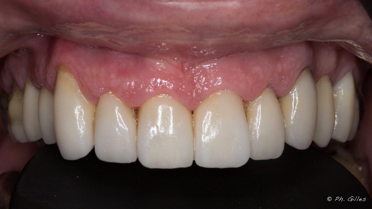
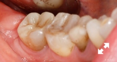
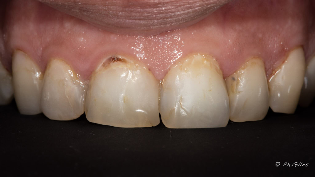
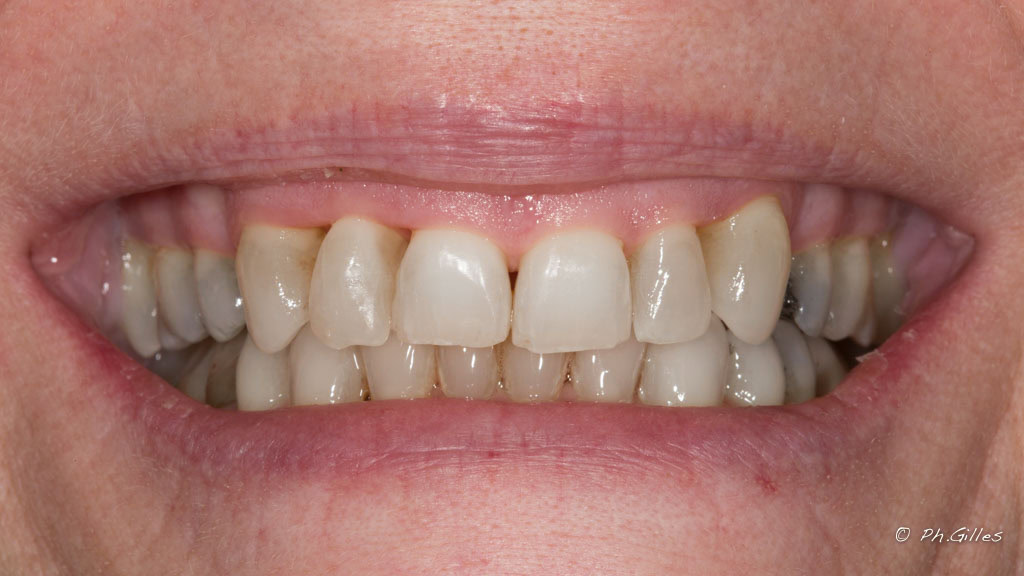
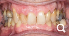
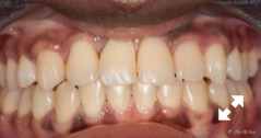
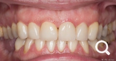
DIAGNOSTIC:

Réhabilitation esthétique supérieure

TRAITEMENT:

Facettes + couronnes + onlay en full céramique

DUREE:

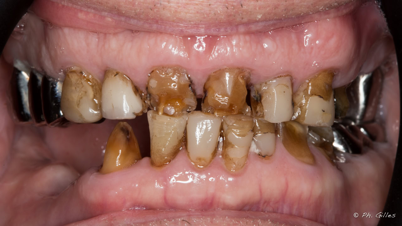
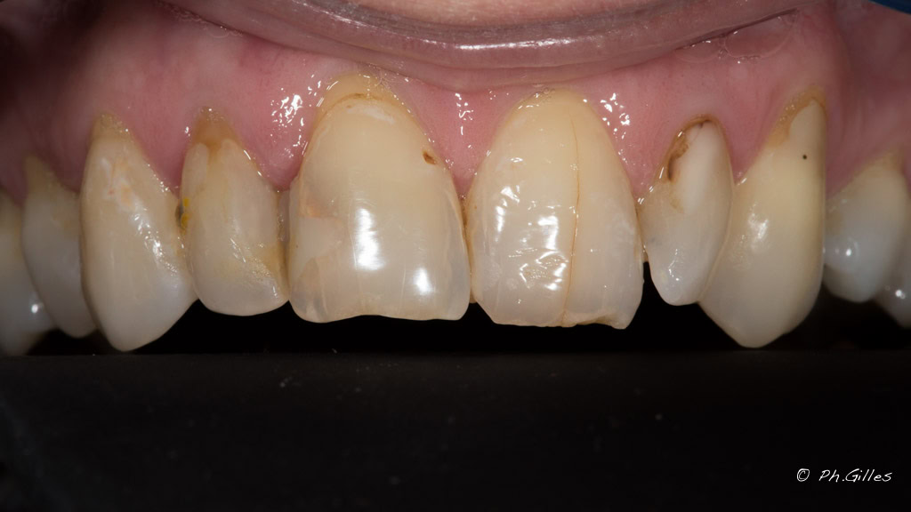
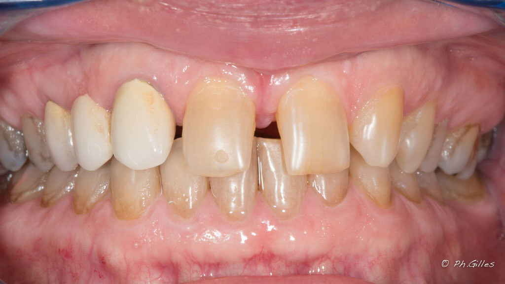
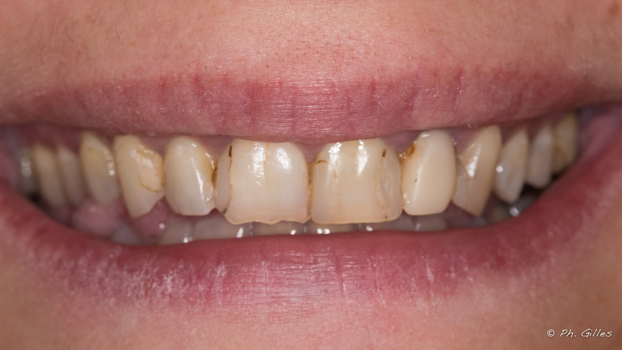
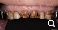
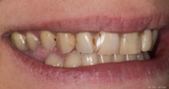
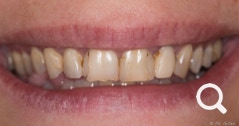
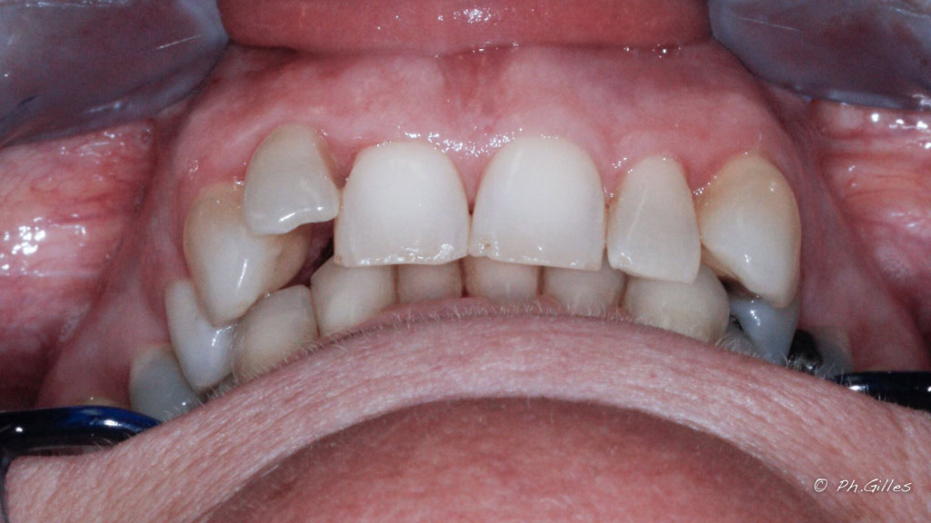
DIAGNOSTIC:

Nombreuses obturations antérieures avec perte d’étanchéité

TRAITEMENT:

6 facettes en céramique

DUREE:

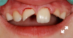
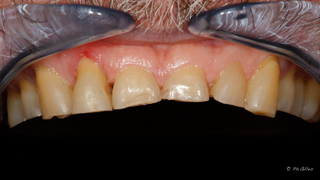
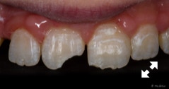
DIAGNOSTIC:

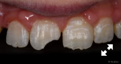
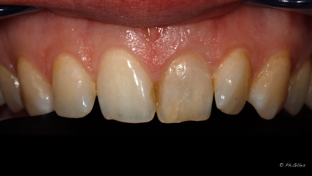
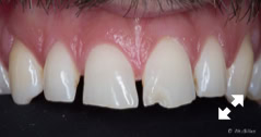
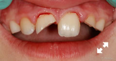
Fracture incisive

TRAITEMENT:

Inlaycore céramisé + couronne full céramique

DUREE:

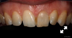
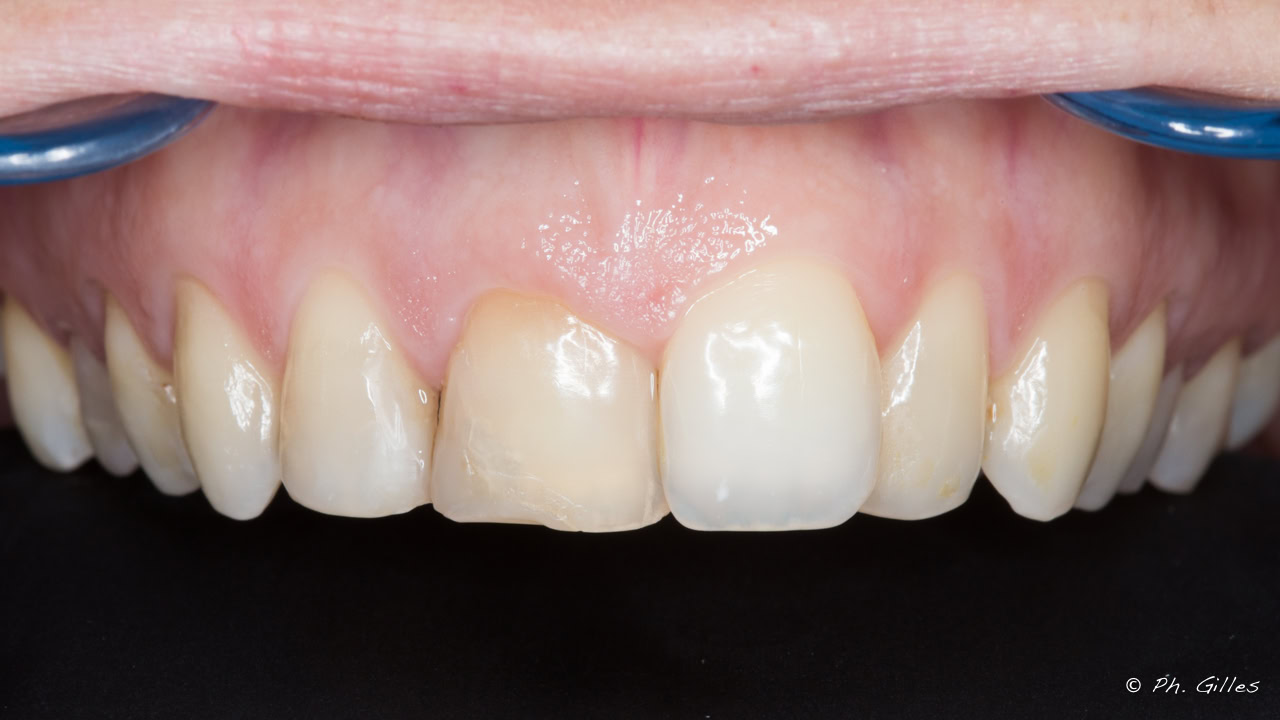
DIAGNOSTIC:

Usures importantes des dents antérieures

TRAITEMENT:

3 couronnes en full céramique

DUREE:

⏳⏳

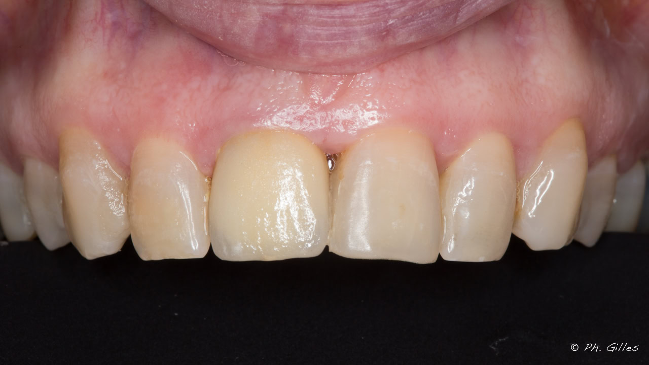
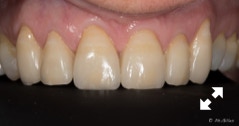
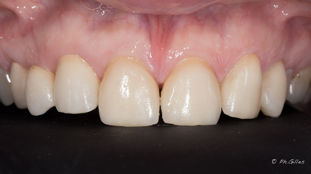
DIAGNOSTIC:

Changement de teinte suite à un traumatisme

TRAITEMENT:

Blanchiment interne + 1 facette en céramique

DUREE:

⏳⏳

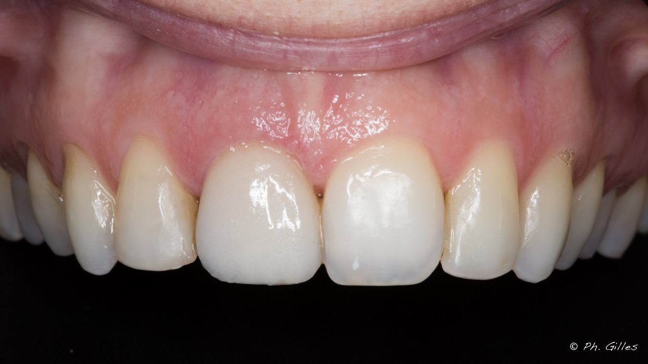
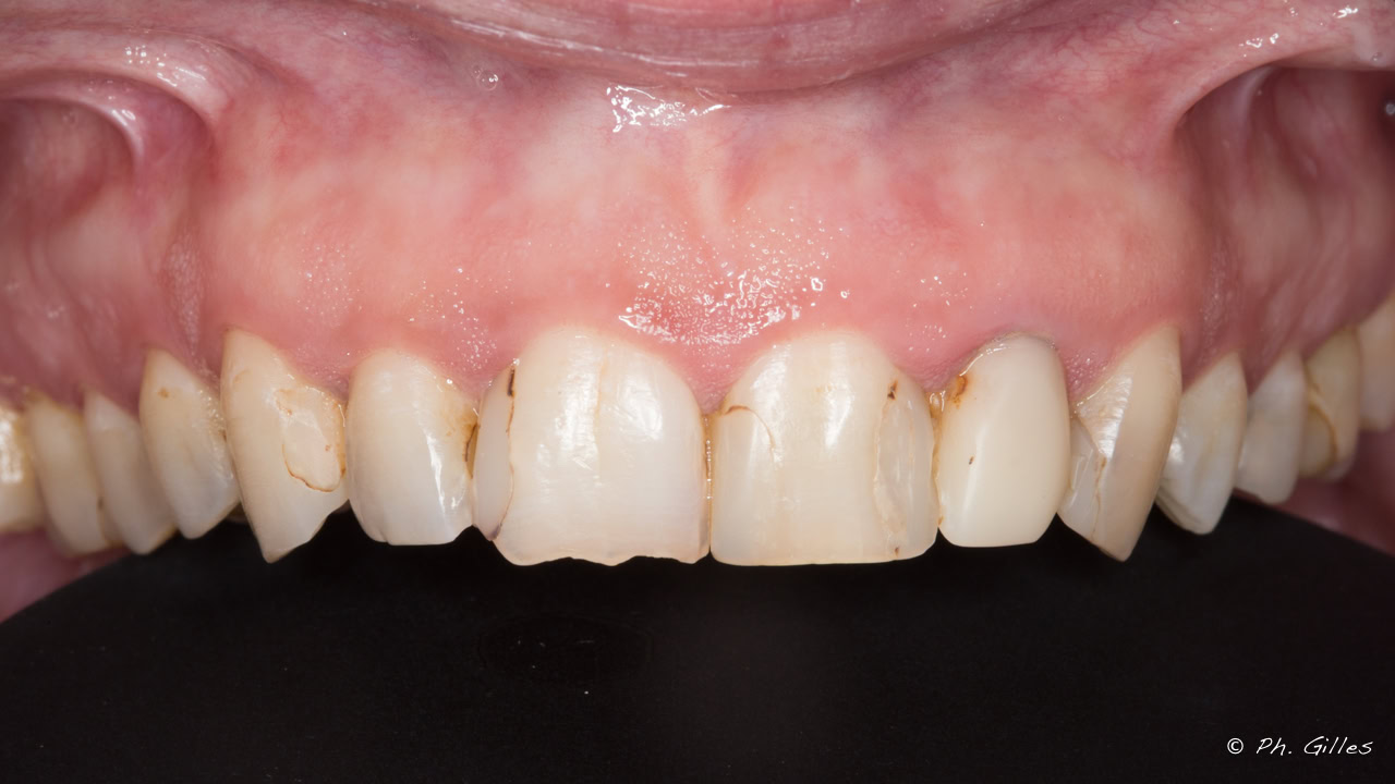
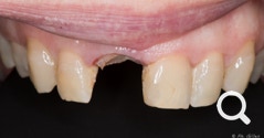
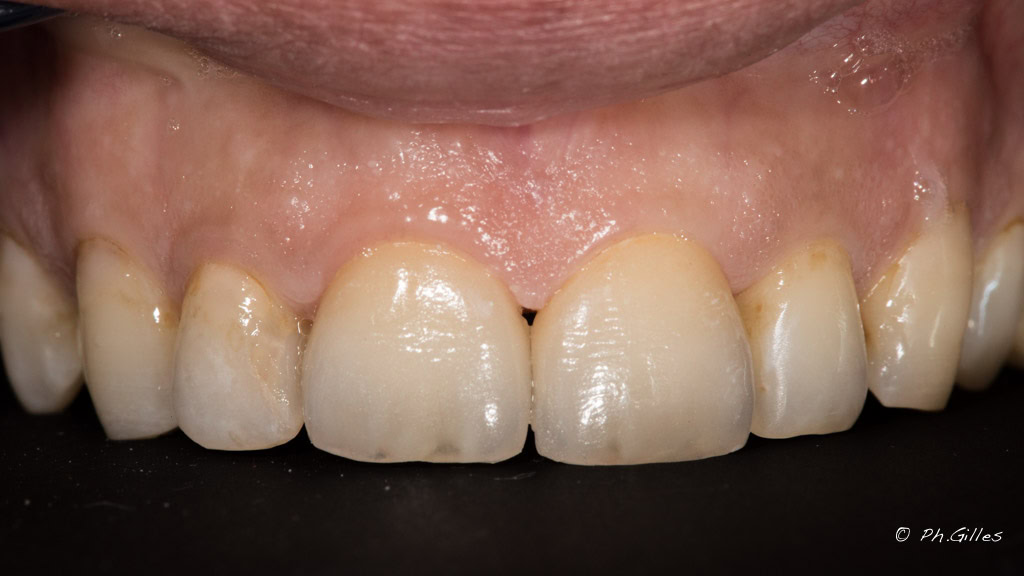
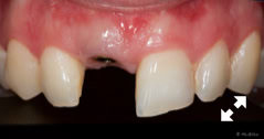
DIAGNOSTIC:

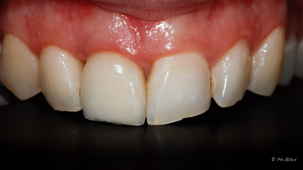
Avulsion d’une incisive centrale

TRAITEMENT:

Greffe osseuse + implant + couronne Zircone

DUREE:

⏳⏳⏳

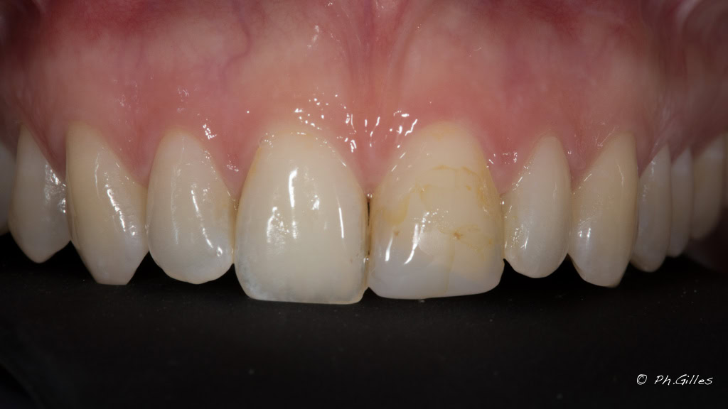
DIAGNOSTIC:

Changement de teinte suite à un traumatisme + composite inesthétique

TRAITEMENT:

Blanchiment interne + 1 facette en céramique

DUREE:

⏳⏳

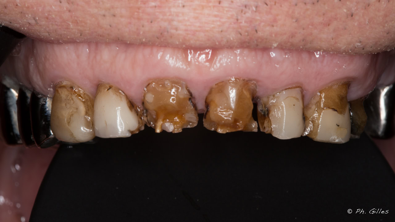
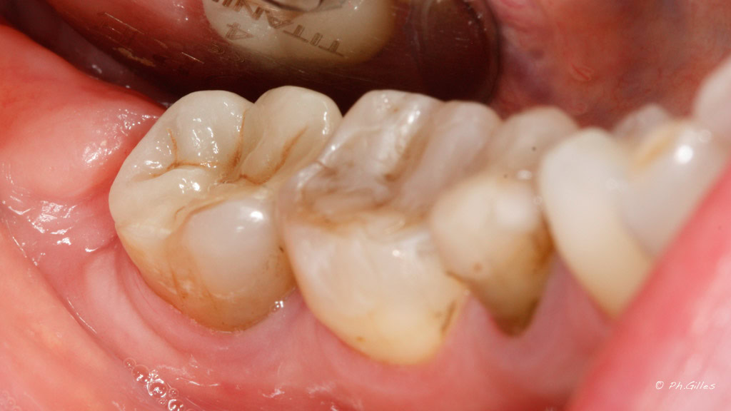
DIAGNOSTIC:

Ancienne obturation en amalgame

TRAITEMENT:

Onlay en céramique pressée

DUREE:

⏳⏳

DIAGNOSTIC:

Fente labio-palatine + agénésie incisive latérale

TRAITEMENT:

Traitement orthodontique chirurgical + bridge Zircone

DUREE:

⏳⏳⏳⏳

DIAGNOSTIC:

Changement de teinte suite à un traumatisme + composite inesthétique

TRAITEMENT:

Blanchiment interne + 1 facette en céramique

DUREE:

⏳⏳

DIAGNOSTIC:

Traumatisme des dents antérieures

TRAITEMENT:

Mock Up + Composite ultra-esthétique

DUREE:


DIAGNOSTIC:

Caries et composites inesthétiques

TRAITEMENT:

2 couronnes en full céramique

DUREE:

⏳⏳

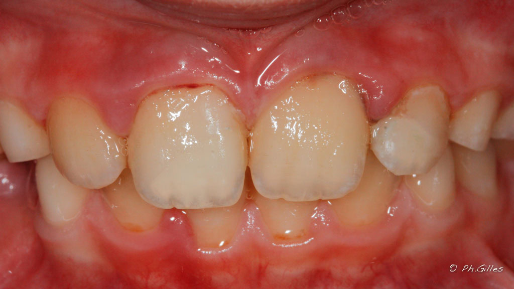
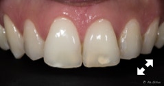
DIAGNOSTIC:

Tâche blanche suite à une hypoplasie de l’émail

TRAITEMENT:

Technique d’érosion-infiltration

DUREE:

DIAGNOSTIC:

Encombrements antérieurs + composites inesthétiques + fêlures de l’émail avec colorations

TRAITEMENT:

Wax up + 6 facettes en céramique

DUREE:

⏳⏳

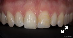
DIAGNOSTIC:

Composite inesthétique sur angle incisif fracturé par un traumatisme

TRAITEMENT:

Facette en céramique

DUREE:

⏳⏳

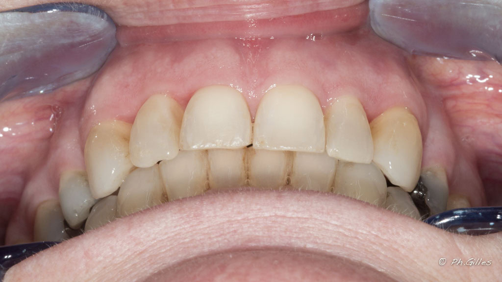
DIAGNOSTIC:

Encombrements antérieurs et agénésie incisive inférieure

TRAITEMENT:

Orthodontie par appareillage fixe céramique

DUREE:

⏳⏳⏳

DIAGNOSTIC:

Agénésie incisives latérales, diastèmes et ancien bridge

TRAITEMENT:

Wax Up + blanchiment + facettes en céramiques et nouveau bridge

DUREE:

⏳⏳

DIAGNOSTIC:

Fracture suite à de l’onychophagie

TRAITEMENT:

Composite esthétique par stratification

DUREE:

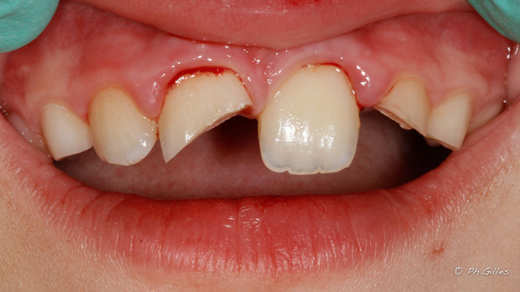
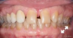
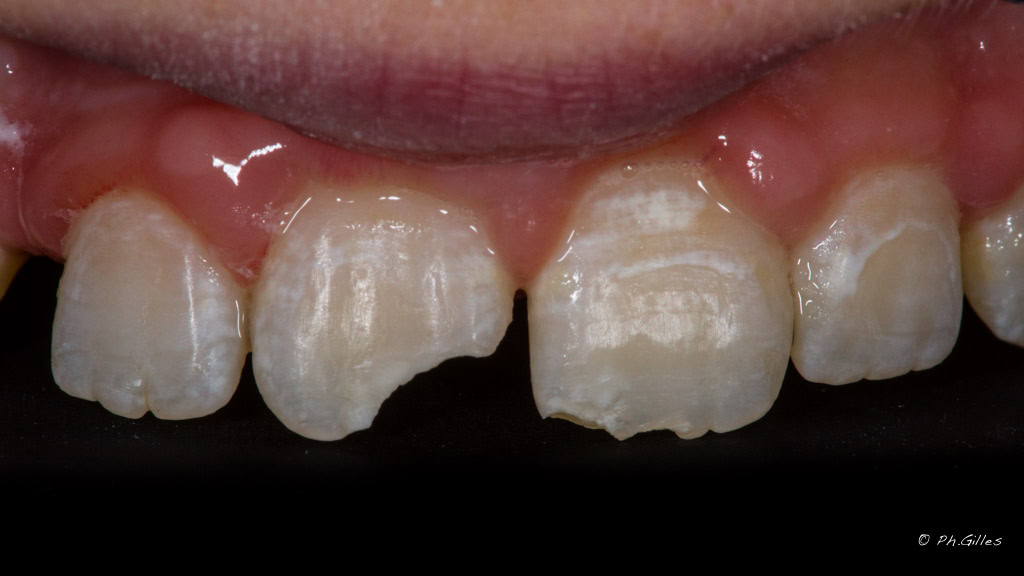
DIAGNOSTIC:

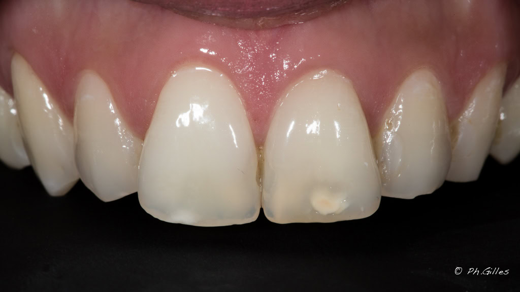
Fracture de 2 incisives suite à un traumatisme

TRAITEMENT:

Collage des deux morceaux fracturés

DUREE:

DIAGNOSTIC:

Encombrements Classe 2 division 2

TRAITEMENT:

Orthodontie par appareillage fixe avec extractions de 2 prémolaires

DUREE:

⏳⏳⏳

DIAGNOSTIC:

Migrations dentaires suite à une parodontite agressive

TRAITEMENT:

Traitement parodontal + traitement orthodontique fixe partiel

DUREE:

⏳⏳

Vous voulez en découvrir plus?

___________________

Suivez nous sur Facebook et Instagram

Facebook
Instagram @medicodonte

La clé du succès?

Un bon diagnostic pour une prise en charge multidisciplinaire!

Ce site utilise des cookies. Veuillez consulter notre Politique de confidentialité pour plus de détails.

Refuser Tout accepter