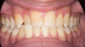
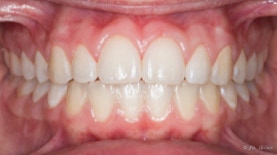
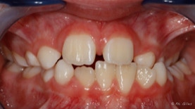
L’ orthodontie

Spécialité de la dentisterie qui corrige les malpositions dentaires

  Etymologie: « Ortho » = droit et « Odontos » = dent

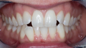
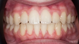
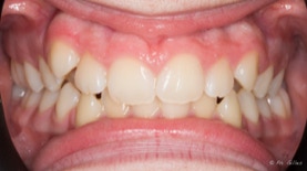
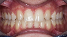
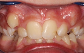
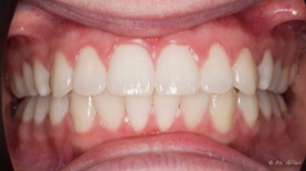
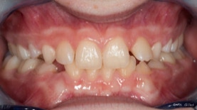
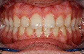
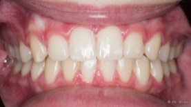
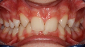
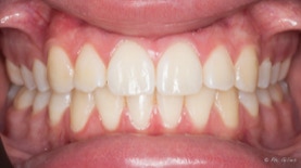
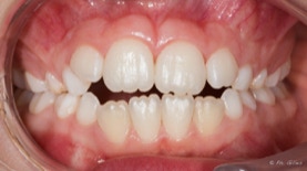
 Discipline à part entière de l'art dentaire. L’orthodontie consiste non seulement à redresser les dents mais également à corriger les problèmes d'occlusion tant au niveau dentaire que osseux.






© MEDIC-ODONTE Srl Avenue Bel Horizon 2B, 1341 Céroux-Mousty

Facebook
Instagram @medicodonte

  Orthopédie

L’orthopédie permet de corriger le décalage des bases osseuses, quand les mâchoires sont mal positionnées l’une par rapport à l’autre, en stimulant la croissance.

  Faciale

La position des dents influence la position de vos lèvres et ainsi l’esthétique du visage. C’est pourquoi une étude préalable complète est nécessaire avant de commencer un traitement orthodontique.

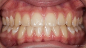
  Dento

L’alignement des dents permet une meilleure hygiène et de les emboîter de façon optimale afin d’avoir une occlusion fonctionnelle et stable.

Chaque enfant est unique. C’est pourquoi, après une première consultation pour un avis orthodontique, un rendez-vous plus long sera planifié afin de prendre toutes les informations nécessaires pour son traitement: examen clinique, radiographies, photographies, scan intra-oral 3D (si de tels examens ont déjà été réalisés chez votre dentiste ou chez un autre orthodontiste, prévenez nous! Il est préférable d’éviter de refaire des radiographies inutilement).


On se reverra quelques semaines après afin de vous expliquer le plan de traitement en détail, le devis précis en fonction des appareils nécessaires ainsi que les différentes demandes d’autorisation pour votre mutuelle et/ou assurances complémentaires.


Le succès de votre traitement dépendra de votre collaboration tout au long de celui-ci. Une bonne hygiène dentaire et le port d’élastiques est indispensable pour obtenir un résultat impeccable. Si votre enfant a besoin de logopédie, cette rééducation myo-fonctionnelle sera très importante pour la stabilité du traitement.

EXCLUSIVITE


Grâce aux nouvelles technologies 3D, de plus en plus de traitements peuvent être réalisés par les techniques d’aligneurs, même chez les enfants. 

Une simulation 3D précise permettra de séquencer tous les mouvements dentaires afin d’optimiser le résultat final.


Une série d’aligneurs sera fabriquée et remplacée chaque semaine jusqu’au résultat final!

Dans le cadre d’un traitement nécessitant un appareillage fixe, nous utiliserons les brackets haut de gamme Damon Ultima. Avec ce type d’appareil, les forces appliquées seront douces, efficaces et plus confortables. Contrairement aux appareils traditionnels, ils sont personnalisés pour chaque patient dès le début du traitement. Ils sont également plus hygiéniques, car il n’est plus nécessaire de placer un élastique sur chaque attache.

Après le traitement orthodontique actif, des appareils de maintien doivent être portés pendant la nuit afin de stabiliser les dents dans leur position d’équilibre. Cette phase est tout aussi importante que le reste du traitement. A la fin de la croissance, un fil de contention sera collé derrière les incisives et devra être gardé à vie. C’est le seul moyen de vous garantir un résultat optimal à long terme car les dents continueront à bouger tout au long de votre vie. Les dents de sagesse seront extraites sur l’avis de votre dentiste ou orthodontiste si elles n’ont pas assez de place afin de prévenir le risque de péricoronarite (infection des tissus mous autour d’une dent où l’éruption est incomplète).

Plus de 15 ans d’expérience

  Questions fréquentes

QUAND CONSULTER ?

Dès le plus jeune âge... La plupart du temps, ce sont des problèmes fonctionnels qui engendrent, maintiennent et/ou aggravent les malocclusions dentaires. 

En commençant tôt, il est possible de mettre en évidence des troubles fonctionnels ( succion du pouce et/ou tétine, respiration buccale, déglutition atypique, interposition de la lèvre inférieure,...). En fonction de la gravité du problème, une simple prise de conscience peut déjà avoir des effets considérables! Nous pouvons également faire appel à un ORL, afin de vérifier la perméabilité des voies respiratoires ainsi qu'à une logopède pour une rééducation myofonctionnelle. 

TRAITEMENT DE 1ère INTENTION ?

Vous pouvez bénéficier d'une intervention supplémentaire de votre mutuelle pour cette première phase orthodontique si le traitement débute avant 8ans1/2.

Ce "pré"-traitement orthodontique consiste à corriger les articulés croisés, les verrouillages de l'occlusion, la position des incisives supérieures et/ou un manque de place pendant la phase de permutation dentaire.

Intervenir tôt, c'est permettre de restaurer des conditions favorables pour un développement harmonieux du maxillaire supérieur et inférieur! 

Le traitement orthodontique sera facilité et donc plus rapide lorsque toutes les dents définitives seront sorties et on évitera le plus souvent des extractions et/ou interventions chirurgicales.

TRAITEMENT ORTHODONTIQUE «REGULIER» ?

Après cette première phase de traitement orthodontique, une deuxième phase est souvent nécessaire pour améliorer l'alignement dentaire et "emboîter" de façon optimale les dents.

Avoir une bonne occlusion est très important pour la stabilité du traitement et l’avenir de vos dents (bon fonctionnement de l'articulation temporo-mandibulaire, faciliter l'hygiène et éviter les problèmes parodontaux). 

L'orthodontie n'est pas simplement aligner les dents! C'est pourquoi il est impératif de porter les élastiques inter-maxillaires afin de guider les dents à se positionner correctement. Si le potentiel de croissance est insuffisant pour corriger des décalages inter-maxillaires, en fonction d'une analyse esthétique, des extractions ou une chirurgie maxillo-faciale peuvent parfois être envisagées.

TRAITEMENT ORTHODONTIQUE DE L’ ADULTE?

Un traitement orthodontique est possible à tout âge, tant qu'il y a des dents en bonne santé!

De plus en plus d'adultes passent le cap. Soit ils n'ont pas eu la chance de bénéficier d'un traitement étant plus jeune, soit il y a eu récidive.  Il faudra néanmoins tenir compte des attentes esthétiques et éventuellement prothétiques. Tout comme pour les enfants, un bilan orthodontique préalable complet devra être effectué afin de réaliser le plan de traitement. La rééducation myofonctionnelle, la contention et le suivi post-traitement est bien entendu indispensable pour éviter une nouvelle récidive!

MONITORING A DISTANCE

Afin d’améliorer le suivi de vos traitements, nous avons choisi Dental Monitoring. Lors du placement de votre appareil, nous vous expliquerons comment bien utiliser la ScanBox pro et l’application. Vous prendrez ensuite quelques photos de votre sourire en utilisant la ScanBox pro (à la fréquence recommandée par votre praticien) et les enverrez via l’application. L’intelligence artificielle analysera les données et vous donnera l’autorisation ou non de changer vos aligneurs. Votre praticien recevra vos photos pour contrôler votre traitement et s’assurer qu’il progresse conformément à votre plan de traitement en vous évitant des déplacements inutiles en cabinet. Il vous enverra ensuite ses commentaires et vous guidera via l’application. Notre système de visualisation avant / après, vous permettra de voir vos progrès en quelques clics. Rien de plus motivant que de voir votre sourire de rêve se dessiner peu à peu !

Vous voulez en découvrir plus?

___________________

Visitez notre page Facebook et Instagram

Facebook
Instagram @medicodonte

Bienvenue dans l’orthodontie moderne 3D

Ce site utilise des cookies. Veuillez consulter notre Politique de confidentialité pour plus de détails.

Refuser Tout accepter