L’orthodontie

Etymologie: "Ortho" = droit et "Odonte" = dent

 Discipline à part entière de l'art dentaire. L’orthodontie consiste non seulement à redresser les dents mais également à corriger les problèmes d'occlusion tant au niveau dentaire que osseux.

QUAND CONSULTER ?

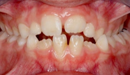
 Dès le plus jeune âge... En effet, dans la plupart du temps, ce sont des problèmes fonctionnels qui engendrent, maintiennent et/ou aggravent les malocclusions dentaires.

En commençant tôt, il est possible de mettre en évidence des troubles fonctionnels ( succion du pouce et/ou tétine, respiration buccale, déglutition atypique, interposition de la lèvre inférieure,...). En fonction de la gravité du problème, une simple prise de conscience peut déjà avoir des effets considérables! Nous pouvons également faire appel à un ORL, afin de vérifier la perméabilité des voies respiratoires ainsi qu'à une logopède pour une rééducation myofonctionnelle.

TRAITEMENT DE 1ère INTENTION

 Vous pouvez bénéficier d'une intervention supplémentaire de votre mutuelle pour cette première phase orthodontique si le traitement débute avant 8ans1/2.

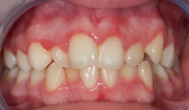
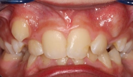
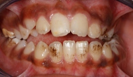
Ce "pré"-traitement orthodontique consiste à corriger les articulés croisés, les verrouillages de l'occlusion, la position des incisives supérieures et/ou un manque de place pendant la phase de permutation dentaire.

Intervenir tôt, c'est permettre de restaurer des conditions favorables pour un développement harmonieux du maxillaire supérieur et inférieur! 


Le traitement orthodontique sera facilité et donc plus rapide lorsque toutes les dents définitives seront sorties et on évitera le plus souvent des extractions et/ou interventions chirurgicales.

TRAITEMENT ORTHODONTIQUE « REGULIER »

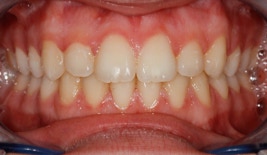
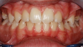
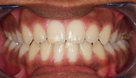
 Après cette première phase de traitement orthodontique, une deuxième phase est souvent nécessaire pour améliorer l'alignement dentaire et "emboîter" de façon optimale les dents.

Avoir une bonne occlusion est très important pour la stabilité du traitement et l’avenir de vos dents (bon fonctionnement de l'articulation temporo-mandibulaire, faciliter l'hygiène et éviter les problèmes parodontaux).

L'orthodontie n'est pas simplement aligner les dents! C'est pourquoi il est impératif de porter les élastiques inter-maxillaires afin de guider les dents à se positionner correctement. Si le potentiel de croissance est insuffisant pour corriger des décalages inter-maxillaires, en fonction d'une analyse esthétique, des extractions ou une chirurgie maxillo-faciale peuvent parfois être envisagées.

TRAITEMENT ORTHODONTIQUE DE L’ ADULTE

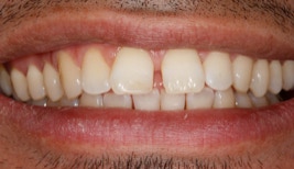
 Un traitement orthodontique est possible à tout âge, tant qu'il y a des dents!

De plus en plus d'adultes passent le cap. Soit ils n'ont pas eu la chance de bénéficier d'un traitement étant plus jeune, soit il y a eu récidive.  Il faudra néanmoins tenir compte des attentes esthétiques et éventuellement prothétiques. Tout comme pour les enfants, un bilan orthodontique préalable complet devra être effectué afin de réaliser le plan de traitement. La rééducation myofonctionnelle, la contention et le suivi post-traitement est bien entendu indispensable pour éviter une nouvelle récidive!